The first-ever autopsy of a person vaccinated against COVID-19, who tested negative 18 days later upon hospital admission but then tested positive at 24 days after the VAX, has revealed that the doomsday viral spiked RNA was found in almost every organ of the body. The vaccine, while triggering an immune response, failed to prevent the virus from entering every organ in the body. The viral RNA was found in virtually every organ in the body, which means the spike proteins as well.
There are antibodies (like the so-called vaccine is supposed to create) but they’re irrelevant because, based on a study from Japan, we now know that the spike S1 (RNA) protein is what does the damage. Once a person is vaccinated it is too late; the timebomb is ticking away. We spoke to one Infectious Disease specialist from a hospital in New Jersey this morning. We sent the actual autopsy findings to him and asked for his thoughts.
When he called back a while later, he was clearly shaken-up. He told us ‘You cannot quote me by name, I will get fired by the hospital if you do.’ We agreed to conceal his identity. He then told us: ‘People think that only a minority of people get adverse effects from the vaccine. Based on this new research, it means that everyone, eventually, will have adverse effects, because those spike proteins will be binding to ACE2 receptors everywhere in the body. That mRNA was supposed to stay in the injection site and it is not. That means the spike proteins created by the mRNA will be in every organ as well, and we now know it is the spike proteins that do the damage.
Worse, the viral RNA is found in every organ despite a vaccine indicates either: 1) The vaccine doesn’t work at all, OR; 2) The virus is enjoying Antibody-Dependent Enhancement (ADE), meaning it actually spreads FASTER in vaccinated people.
This is a GLOBAL TIMEBOMB and devastating news to the pro-vaccination lobby. According to the published post-mortem report, the vaccinated man was 86 years old and tested negative for COVID-19 when first admitted to the hospital with severe gastro-intestinal trouble and difficulty breathing. Here is what the reports describes:
‘We report on an 86-year-old male resident of a retirement home who received a vaccine against SARS-CoV-2. Past medical history included systemic arterial hypertension, chronic venous insufficiency, dementia and prostate carcinoma.
On January 9, 2021, the man received lipid nanoparticle-formulated, nucleoside-modified RNA vaccine BNT162b2 in a 30 μg dose. On that day and in the following 2 weeks, he presented with no clinical symptoms (Table 1).
On day 18, he was admitted to hospital for worsening diarrhoea. Since he did not present with any clinical signs of COVID-19, isolation in a specific setting did not occur. Laboratory testing revealed hypochromic anaemia and increased creatinine serum levels. Antigen test and polymerase chain reaction (PCR) for SARS-CoV-2 were negative.
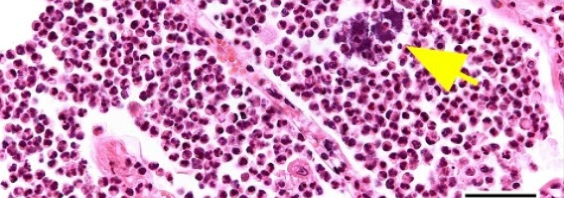
The report of the post-mortem makes clear tests showed ’no morphological changes associated with COVID in his organs. The deceased did NOT die of Covid. The damage to the organs of the now-dead vaccine recipient, took place before he was infected with Covid. Worse, once the vaccinated man actually got COVID, it spread so fast within his body, he apparently never stood a chance. Here are tissue images:

Given all the adverse reactions to the vax, we can firmly conclude that getting the vax is a far more dangerous thing than getting the actual illness. Source Watch VIDEO
SUDDEN DEATH of 32 YEAR OLD
This couple’s step-son, age 32, died from a heart attack 12 hours after getting the Johnson & Johnson Vaccine. Coroner refuses to release reports; calls cause of death ‘inconclusive.’ A lot of these deaths are simply being covered up. Here’s the family to tell you:


Categories: Uncategorized

















Protesters Rage In Paris Against “Health Passports” https://www.zerohedge.com/covid-19/protesters-rage-paris-against-health-passports
Get organized FRENCH! Crowd Tactics Against Tyranny- https://www.bitchute.com/video/PQhjFTDt7UrL/
LikeLiked by 1 person